
みなさんは白い歯に憧れませんか?
歯を白くすると、5~10歳若く見せる効果があるのをご存じですか?コロナウイルスが落ち着いて、マスクを外して会話する事が多くなると、何となく口元を見られている気がして仕方ないんじゃないでしょうか。
+プラスホワイトでは、歯科と同じ成分のホワイトニングジェルが、歯科提携のオンライン診療で可能になりました!
ちょっとでも気になるなら、一度試してみませんか?


最高の笑顔で迎える、特別な一日
ブライダルホワイトニングの魅力
一生に一度の結婚式。純白のウェディングドレスや白無垢を身にまとった花嫁姿は、まさに格別です。そんな特別な日だからこそ、写真や映像に残る最高の笑顔を、自信を持って輝かせたいですよね。ブライダルホワイトニングは、あなたが思い描く理想の花嫁姿を叶えるための、大切な準備の一つです。
結婚式当日は、ゲストからの注目を一身に集める主役です。白い衣装に映える白く輝く歯は、顔全体の印象を明るくし、あなたの魅力を一層引き立てます。
口元が明るく清潔な印象に: 白い歯は清潔感と明るさを演出し、自信に満ちた笑顔をサポートします。
白い衣装との相性: 純白のドレスを着ると、普段気にならない歯の黄ばみが意外と目立つことがあります。ホワイトニングで歯を白く整えることで、口元が残念な印象になる心配がありません。
写真映え: 一生残る結婚式の写真や映像で、後悔することなく、美しく輝く口元を残すことができます。
卒業ホワイトニング

卒業ホワイトニングって知っていますか?
卒業を最高の笑顔で!卒業ホワイトニングキャンペーン
大切な卒業式や入学式、そして社会人としての新たなスタートを、自信あふれる白い歯で迎えませんか!
たった一度きりの特別な瞬間を、輝く笑顔で写真に残しましょう!
卒業ホワイトニングを選ぶ理由
最高の思い出作り:門出の瞬間を、きれいに輝く白い歯で写真に残せます。
第一印象アップ:清潔感あふれる白い歯は、好印象を与え、自信につながります。
新生活への自信:新しい環境での出会いを、最高の笑顔で迎えられます。

始めるなら今がチャンス
ホワイトニングは、結婚式の2~3ヶ月前から始めるのが理想的です。余裕を持って計画することで、ご希望の白さに近づけるだけでなく、その白さを結婚式当日まで維持するためのケアもじっくりと行うことができます。お急ぎの場合でも対応可能ですので、まずはご相談ください。
お二人で叶える、輝く未来
当サロンでは、花嫁さんだけでなく、新郎の方も一緒にケアを受けられる「ペアホワイトニング」もご用意しております。お二人で最高の笑顔を準備し、新たな門出を輝く白い歯で迎えてみませんか?
ライン(Line)でのご予約 -> QRコード
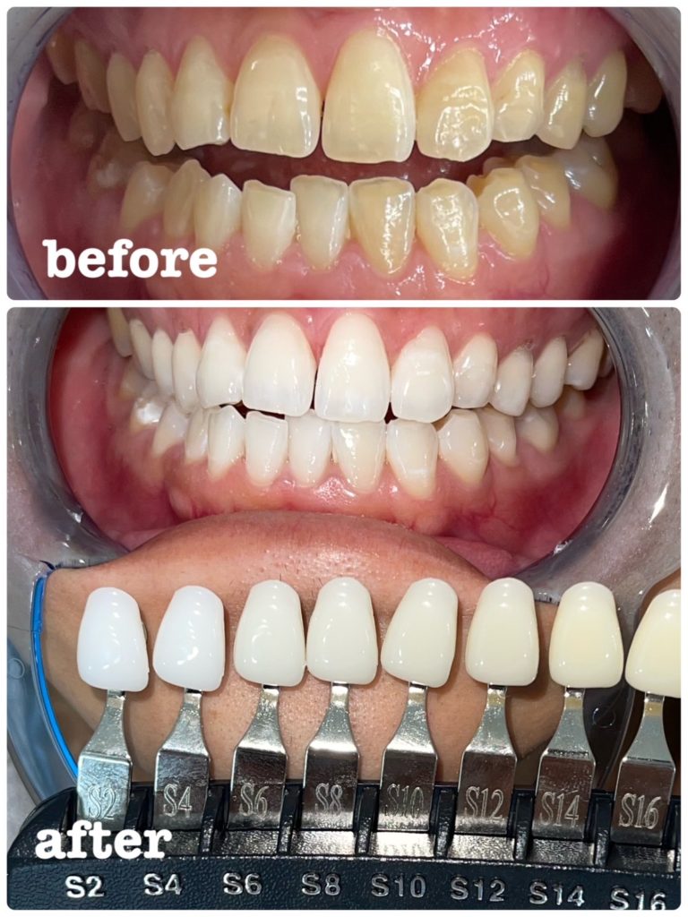
実際にプラスホワイトで歯が白くなる「ビフォー・アフター」を画像でお伝えします。
いかがでしょうか、あなたも
で白い歯をとりもどしませんか?




セルフホワイトニングについてご説明します



← ライン(LINE)でご予約
ライン(Line)を開き
ホーム -> 右上の人+ アイコン -> QRコード
でQRコードをお読みいただく
トークをタップ画面上部の検索枠の右の アイコンでQRコードをお読み頂けます。
プラスホワイト
料金について



歯の色が気になる、さら若々しく見せたい、ぜひご相談ください
札幌外反母趾巻き爪研究所
外反母趾でお困りの方・巻き爪でお困りの方・歩行にご心配の方・歯を白くしたい・ホワイトニングをしたい方
是非一度ご相談ください。
【お問合せはこちらをクリック】
